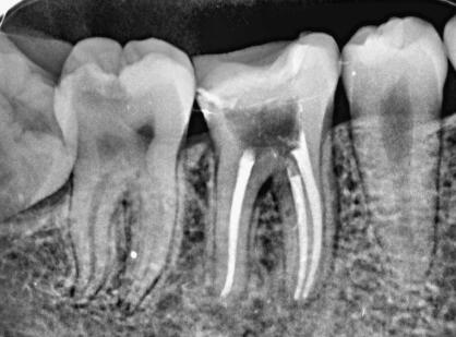
西安是一座文化底蕴十分丰富的城市,拥有各种各样的美食。美食吃多了往往容易产生一些牙齿问题,因此就需要进行根管治疗,男女老少对于牙齿的保护意识还需要加强。根管治疗在牙科医生之间常见,相信很多小伙伴对于这个词也并不陌生。口腔临床上很常见的一种治疗方式。根管治疗术是通过清除根管内的坏死物质,进行适当的消毒,充填根管很多不同年龄段的人们都可能做过。很多小伙伴很关心根管治疗的价格情况以及能不能走医保报销流程,下面就让小编为大家介绍一下根管治疗所需要的具体步骤以及操作方法。以及大家关心的怎么走医保报销。

1.西安根管治疗后怎么报销医保?
西安根管治疗怎么报销医保呢?一般情况下,只要小伙伴们前往当地正规医院去进行治疗,都是可以走医保报销的,具体的报销流程可以向相关工作人员进行询问。不同城市之间可能存在一些差异,大多情况下是需要保留治疗时候产生的发票,然后在统一前往规定的报销平台进行报销。所以大家完全可以放心,前往大医院向服务人员问询即可。携带相关发票等材料,前往当地医保管理部门办理报销手续,也要结合当地具体政策进行操作。

2.根管治疗后怎么维护?
通常情况下,根管治疗需要就诊2-4次,耗时2-3周左右,一般被诊断为牙髓炎或者根尖周炎的牙齿需要根管治疗。如果需要做根管治疗,请到当地正规公立医院口腔牙体牙髓科就诊,检查和治疗。定期前往医院复查,日常生活中做好牙齿的清洁工作还是很重要的。

3.根管治疗疼吗?
很多小伙伴担心根管治疗会不会很疼,其实大可不必担心。涉及到牙神经方面的牙齿问题,牙科医生都会打上麻药,感受不到牙齿的疼痛,就算是牙齿由于蛀牙缺失了一大部分,也不用担心。如果没有触及到神经直接清洗干净,消毒后填充就可以了。如果伤到了牙齿神经,那么就需要根管治疗了。治疗时间可能比较长,医生需要观察情况,视情况来判断。一旦出现持续的疼痛等问题,需要第一时间前往医院向医生寻求帮助。

4.西安根管治疗的价格贵吗?
正常情况下,根管治疗的价格与根管的数量以及医院的相关级别水平都有关系。一般在三级医院的费用会相对来说贵一点。价格一般都比较正常,大约在几百块钱左右。而且牙齿的位置也会影响到相关根管治疗的费用。具体费用情况建议咨询当地医院医生再进行治疗。























